Đọc báo

 

Tổng số điểm của bài viết là: 20 trong 4 đánh giá

Click để đánh giá bài viết
Hút thuốc, uống rượu hơn 30 năm, người đàn ông ung thư thực quản phải cắt bỏ

Hút thuốc, uống rượu hơn 30 năm, người đàn ông ung thư thực quản phải cắt bỏ

 4 năm     Blog Doanh nghiệp

Suckhoedoisong.vn - Bệnh nhân có tiền sử hút thuốc lào và có thâm niên uống rượu trên 30 năm. Thời gian gần đây, bệnh nhân xuất hiện tình trạng nuốt nghẹn, có gầy sút cân nên đi kiểm tra sức khỏe, các...

Xác định viêm phổi cấp do nhiễm COVID-19

Xác định viêm phổi cấp do nhiễm COVID-19

 4 năm     Blog Doanh nghiệp

Suckhoedoisong.vn - Báo chí trong thời gian qua đã thông tin “hơn 38 học sinh tại Vĩnh Phúc có biểu hiện “sốt, ho, khó thở”.Để giúp bạn đọc hiểu chuẩn hơn về những triệu chứng này trong khi dịch COVID...

Làm gì khi trẻ sốt, ho thời dịch COVID-19?

Làm gì khi trẻ sốt, ho thời dịch COVID-19?

 4 năm     Blog Doanh nghiệp

Suckhoedoisong.vn - Nhà tôi từ Tết đến giờ vẫn chỉ ở Hà Nội. Hai hôm nay bé gái 5 tuổi ho có đờm, sốt 38 độ. Đang trong mùa dịch COVID-19 nên tôi rất hoang mang. Xin cho tôi lời khuyên. (Chị Thu H, 33...

4 động tác đơn giản giảm mỏi mắt

4 động tác đơn giản giảm mỏi mắt

 4 năm     Blog Doanh nghiệp

Suckhoedoisong.vn - Do tiếp xúc nhiều với màn hình máy tính và điện thoại di động trong cuộc sống hàng ngày, ngày càng có nhiều người bị các rối loạn liên quan đến mắt ở các mức độ khác nhau như nhìn...

Suy giãn tĩnh mạch chân - âm thầm nhưng đau đớn

Suy giãn tĩnh mạch chân - âm thầm nhưng đau đớn

 4 năm     Blog Doanh nghiệp

Suckhoedoisong.vn - Suy giãn tĩnh mạch chân là bệnh lý rất phổ biến, nhưng đa số người bệnh không biết mình bị bệnh vì triệu chứng không rõ ràng, dễ nhầm lẫn với những triệu chứng của viêm khớp, đau...

Nhận biết hội chứng đường hầm xương trụ gây teo cơ bàn tay

Nhận biết hội chứng đường hầm xương trụ gây teo cơ bàn tay

 4 năm     Blog Doanh nghiệp

Suckhoedoisong.vn - Teo cơ bàn tay kèm theo tê bì là các triệu chứng có thể gặp trong nhiều hội chứng bệnh và do nhiều nguyên nhân khác nhau gây ra.

Phân biệt, xử trí và phòng ngừa sốt do COVID-19, cúm A và cảm lạnh

Phân biệt, xử trí và phòng ngừa sốt do COVID-19, cúm A và cảm lạnh

 4 năm     Blog Doanh nghiệp

Suckhoedoisong.vn - Virus COVID-19, cúm A và cảm lạnh đều gây nên triệu chứng sốt. Để giúp người dân tránh nhầm lẫn, bác sĩ Nguyễn Minh Tuấn chia sẻ một số cách nhận diện, xử trí và phòng ngừa ba loại...

Để phòng ngừa COVID-19, tuyệt đối không hút thuốc lá

Để phòng ngừa COVID-19, tuyệt đối không hút thuốc lá

 4 năm     Blog Doanh nghiệp

Suckhoedoisong.vn - Hút thuốc làm gia tăng nguy cơ mắc bệnh tim, bệnh về phổi. Những người mắc các bệnh nền này có nhiều nguy cơ mắc bệnh COVID-19 nặng hơn nếu nhiễm virus.

Những “thủ phạm” gây máu nhiễm mỡ

Những “thủ phạm” gây máu nhiễm mỡ

 4 năm     Blog Doanh nghiệp

Suckhoedoisong.vn - Máu nhiễm mỡ còn có tên gọi khác là mỡ máu cao hay rối loạn chuyển hóa lipid máu là vấn đề sức khỏe thường gặp hiện nay. Trong đó, chế độ ăn uống không hợp lý, thừa chất, ít vận...

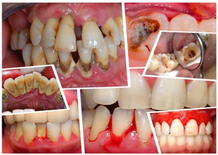
Cao răng và bệnh lý liên quan

Cao răng và bệnh lý liên quan

 4 năm     Blog Doanh nghiệp

Suckhoedoisong.vn - Trên thực tế, cao răng là nơi trú ẩn lý tưởng của vi khuẩn và chúng sẵn sàng gây bệnh răng miệng, viêm hầu họng làm giảm sức khỏe và chất lượng cuộc sống của chúng ta. Vậy bạn định...

Hợp chất Fucoidan”, giải pháp hỗ trợ bệnh nhân ung thư

Hợp chất Fucoidan”, giải pháp hỗ trợ bệnh nhân ung thư

 4 năm     Blog Doanh nghiệp

Suckhoedoisong.vn - Theo thống kê, ung thư khi được phát hiện và điều trị tích cực đều đẩy lùi được bệnh, kéo dài sự sống từ 10 đến 20 năm hoặc hơn nữa.

Chớ xem thường đau lưng cơ năng

Chớ xem thường đau lưng cơ năng

 4 năm     Blog Doanh nghiệp

Suckhoedoisong.vn - Đau lưng cơ năng là tình trạng xảy ra khá phổ biến hiện nay và có thể gặp ở bất kỳ ai.

Viêm dây thần kinh thị giác: Dễ giảm thị lực không phục hồi

Viêm dây thần kinh thị giác: Dễ giảm thị lực không phục hồi

 4 năm     Blog Doanh nghiệp

Suckhoedoisong.vn - Viêm dây thần kinh thị giác còn được gọi là viêm thị thần kinh. Viêm thị thần kinh là hiện tượng viêm, nhiễm khuẩn cấp tính hoặc mạn tính xảy ra trên dây thần kinh thị giác (có thể...

Mùa xuân, người cao tuổi cần đề phòng viêm phổi

Mùa xuân, người cao tuổi cần đề phòng viêm phổi

 4 năm     Blog Doanh nghiệp

Suckhoedoisong.vn - Vào giữa và cuối mùa xuân, nhiều khi trời đang nắng ấm bỗng gió mùa Đông Bắc tràn về, gây mưa rét.

Nguy hại do viêm mống mắt thể mi

Nguy hại do viêm mống mắt thể mi

 4 năm     Blog Doanh nghiệp

Suckhoedoisong.vn - Viêm mống mắt thể mi là phần trước của màng bồ đào, do đó, bệnh này còn có tên gọi là viêm màng bồ đào trước.

Trời lạnh, coi chừng viêm họng phát tác

Trời lạnh, coi chừng viêm họng phát tác

 4 năm     Blog Doanh nghiệp

Suckhoedoisong.vn - Nắm rõ nguyên nhân và các yếu tố nguy cơ gây viêm họng và cách phòng ngừa là chìa khóa để tránh bệnh viêm họng không phát tác, nhất là vào các đợt không khí lạnh tràn về.

10 biện pháp đơn giản trị tăng huyết áp

10 biện pháp đơn giản trị tăng huyết áp

 4 năm     Blog Doanh nghiệp

Suckhoedoisong.vn - Nếu bạn bị tăng huyết áp (THA), bạn sẽ phải làm mọi cách để duy trì huyết áp (HA) của bạn trong tầm kiểm soát.

Tại sao nói Axit uric tăng cao gây bệnh gút là không thể xem thường?

Tại sao nói Axit uric tăng cao gây bệnh gút là không thể xem thường?

 4 năm     Blog Doanh nghiệp

Suckhoedoisong.vn - Axit uric cao là mối đe dọa nguy hiểm cho sức khỏe, là mầm mống gây bệnh gút với những cơn đau dữ dội tại các khớp ngón tay, ngón chân. Nồng độ axit uric cao cũng có thể dẫn đến...

Giải pháp giúp u xơ tuyến tiền liệt không còn đáng sợ

Giải pháp giúp u xơ tuyến tiền liệt không còn đáng sợ

 4 năm     Blog Doanh nghiệp

Suckhoedoisong.vn - U xơ lành tính tuyến tiền liệt hay còn gọi là phì đại tuyến tiền liệt, là một bệnh lý thường gặp sau tuổi 50. Theo số liệu thống kê của Tổ chức Y tế Thế giới cho thấy, ở Việt Nam...

Bí quyết giúp testosterol ổn định, “chuyện yêu” sung sức của các quý ông

Bí quyết giúp testosterol ổn định, “chuyện yêu” sung sức của các quý ông

 4 năm     Blog Doanh nghiệp

Suckhoedoisong.vn - Nếu cơ thể nam giới được ví như một ngọn đuốc mạnh mẽ thì testosterone giữ vai trò là nguồn oxy giúp ngọn đuốc luôn sáng bừng và tràn đầy năng lượng. Testosterone giữ vai trò quyết...

Chớ xem thường gan nhiễm mỡ

Chớ xem thường gan nhiễm mỡ

 4 năm     Blog Doanh nghiệp

Suckhoedoisong.vn - Gan nhiễm mỡ là bệnh bị gây ra bởi sự tích tụ quá nhiều chất béo trong tế bào gan. Nhưng tình trạng đọng mỡ này xảy ra chậm chạp, mỗi ngày tích lũy tăng dần từng chút, dẫn đến bệnh...

Chăm sóc trẻ bị viêm đường hô hấp

Chăm sóc trẻ bị viêm đường hô hấp

 4 năm     Blog Doanh nghiệp

Suckhoedoisong.vn - Thời tiết giá rét, trẻ dễ mắc các bệnh viêm đường hô hấp như viêm mũi họng, hầu, thanh quản và viêm xoang...Các mẹ nên biết cách chăm con khi bé mắc các bệnh này.

Ðể tránh viêm mũi dị ứng hoành hành

Ðể tránh viêm mũi dị ứng hoành hành

 4 năm     Blog Doanh nghiệp

Suckhoedoisong.vn - Ô nhiễm môi trường kết hợp với sự thay đổi thời tiết thất thường mùa xuân làm tăng nguy cơ mắc bệnh viêm mũi dị ứng. Đây là một căn bệnh thường gặp nhưng cũng gây nhiều phiền...

Giúp bạn kiểm soát tốt Cholesterol

Giúp bạn kiểm soát tốt Cholesterol

 4 năm     Blog Doanh nghiệp

Suckhoedoisong.vn - Cholesterol rất cần thiết cho sự phát triển của cơ thể, tuy nhiên, nếu cholesterol ở mức cao sẽ làm tăng nguy cơ mắc các bệnh về tim mạch và các vấn đề sức khỏe khác.

Bỏ thuốc lá dễ dàng chỉ trong 1 tuần nhờ bí quyết này

Bỏ thuốc lá dễ dàng chỉ trong 1 tuần nhờ bí quyết này

 4 năm     Blog Doanh nghiệp

Suckhoedoisong.vn - Thuốc lá hiện đang gây ra 7,1 triệu ca tử vong mỗi năm trên thế giới, trong đó bao gồm 900.000 ca tử vong gây ra bởi các bệnh do hút thuốc lá thụ động. Tổ chức Y tế Thế giới (WHO)...

Bí quyết vàng cho người bệnh trĩ

Bí quyết vàng cho người bệnh trĩ

 4 năm     Blog Doanh nghiệp

Suckhoedoisong.vn - Theo những thống kê của Hội Hậu môn trực tràng Việt Nam, tỷ lệ người mắc bệnh trĩ chiếm khoảng 55% dân số Việt Nam. Số người mắc bệnh ở độ tuổi 40 trở lên chiếm khoảng 60-70%.

Tiểu ra máu có thể gặp ở ung thư bàng quang

Tiểu ra máu có thể gặp ở ung thư bàng quang

 4 năm     Blog Doanh nghiệp

Suckhoedoisong.vn - Nghe nói bệnh ung thư bàng quang khó chẩn đoán nên hay gặp ở giai đoạn muộn phải không? Tiểu máu có phải hay gặp ở ung thư giai đoạn sớm và các loại ung thư gặp ở bàng quang?

Viêm màng ngoài tim co thắt nguy hiểm thế nào?

Viêm màng ngoài tim co thắt nguy hiểm thế nào?

 4 năm     Blog Doanh nghiệp

Suckhoedoisong.vn - Bệnh viêm màng ngoài tim co thắt là hậu quả của quá trình xơ hóa. Quá trình viêm mạn tính do nhiều nguyên nhân gây ra làm tổn thương dày và dính màng ngoài tim.

Phòng viêm nhiễm hàm mặt

Phòng viêm nhiễm hàm mặt

 4 năm     Blog Doanh nghiệp

Suckhoedoisong.vn - Viêm nhiễm vùng hàm mặt là một loại bệnh lý rất đa dạng, do nhiều nguyên nhân gây nên.

Khuyến cáo về COVID-19 trong nhãn khoa

Khuyến cáo về COVID-19 trong nhãn khoa

 4 năm     Blog Doanh nghiệp

Suckhoedoisong.vn - Điều quan trọng là trong công việc hàng ngày của các bác sĩ ngành nhãn khoa cũng có những nguy cơ rủi ro tiềm tàng nếu dịch COVID-19 bùng phát, trong khi chúng ta vẫn phải đảm bảo...

Danh mục dịch vụ

Bạn đã không sử dụng Site, Bấm vào đây để duy trì trạng thái đăng nhập. Thời gian chờ: 60 giây