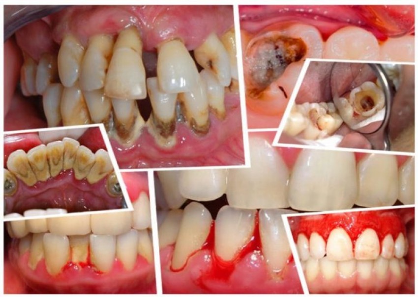
Cao răng và bệnh lý liên quan

Suckhoedoisong.vn - Trên thực tế, cao răng là nơi trú ẩn lý tưởng của vi khuẩn và chúng sẵn sàng gây bệnh răng miệng, viêm hầu họng làm giảm sức khỏe và chất lượng cuộc sống của chúng ta. Vậy bạn định xử lý cao răng thế nào cho hợp vệ sinh? Câu trả lời sẽ có trong bài viết dưới đây.

Cao răng là một chất lắng cặn cứng của các muối vô cơ gồm canxi carbonat và phosphate phối hợp với cặn mềm (mảnh vụn thức ăn, các chất khoáng trong môi trường miệng), vi khuẩn, xác các tế bào biểu mô, sự lắng đọng sắt của huyết thanh, bám rất chắc vào bề mặt răng hoặc dưới bờ lợi (còn gọi là vôi răng). Cao răng có hai loại: cao răng thường và cao răng huyết thanh. Cao răng thường như đã mô tả ở trên. Khi cao răng thường gây viêm lợi, lợi ở vùng viêm sẽ tiết dịch viêm và chảy máu, máu ngấm vào cao răng thường tạo nên màu nâu đỏ, lúc này mảng cao răng đó được gọi là cao răng huyết thanh.

Sự hình thành cao răng diễn ra như thế nào?

Sau khi ăn khoảng 15 phút sẽ có một lớp màng mỏng bám trên bề mặt răng. Nếu màng này không được làm sạch, các vi khuẩn sẽ kéo đến và tích tụ ngày càng dày lên, gọi là mảng bám.

Có một nghiên cứu cho thấy khoảng 70% trọng lượng mảng bám là vi khuẩn, tức trong 1mg mảng bám (bằng kích thước đầu tăm) chứa tới một tỉ vi khuẩn.

Khi mảng bám còn mềm, có thể làm sạch khỏi bề mặt răng bằng bàn chải hoặc chỉ nha khoa. Nhưng khi tồn tại lâu, mảng bám vôi hóa bởi hợp chất muối vô cơ trong nước bọt và cặn mềm sẽ trở nên cứng, bám rất chắc vào bề mặt răng hoặc dưới mép lợi, gọi là cao răng (vôi răng). Đến lúc này chỉ có bác sĩ mới có thể làm sạch bằng các dụng cụ chuyên dùng.

Một số bệnh lý liên quan đến cao răng

Cao răng có thể dẫn đến các bệnh như viêm lợi với các biểu hiện đánh răng chảy máu, miệng có mùi hôi. Cao răng cũng có thể gây viêm nha chu dẫn đến tiêu xương làm răng bị đau, ê buốt khi ăn uống, nặng hơn có thể gây lung lay và rụng răng. Ngoài ra, cao răng còn gây viêm tủy ngược dòng. Vi khuẩn trong mảng cao răng cũng là một trong những nguyên nhân gây các bệnh ở niêm mạc miệng (viêm niêm mạc miệng, áp-tơ mà dân gian vẫn gọi là bệnh lở miệng), bệnh ở vùng mũi họng (viêm amidan, viêm họng), bệnh tim mạch.

Cao răng và bệnh lý liên quanCần lấy cao răng định kỳ 3-6 tháng 1 lần.

Có nhiều lý do để phải lấy cao răng thường xuyên. Trong đó phải kể đến độc tố của vi khuẩn trong mảng cao răng gây ra viêm. Từ phản ứng viêm này gây ra hiện tượng tiêu xương ở răng làm cho lợi mất chỗ bám dẫn đến càng ngày răng càng dài, để lộ ra vùng xương răng không được tổ chức quanh răng bảo vệ. Bệnh nhân sẽ thấy xuất hiện cảm giác ê buốt khó chịu.

Thứ hai, chiều dài chân răng là không thay đổi, nên khi xương càng tiêu nhiều thì độ dài chân răng nằm trong xương càng ngắn lại dẫn đến răng lung lay và quá trình tiêu xương càng diễn ra nhanh hơn. Tiếp đến là  tiêu xương sinh lý là quá trình không thể tránh khỏi theo thời gian và việc làm cho xương không bị tiêu là một việc không tưởng. Do đó, duy trì xương ở mức độ ổn định và vô cùng quan trọng.

Vì vậy, bạn cần phải lấy cao răng định kỳ để loại bỏ nơi trú ẩn của vi khuẩn gây bệnh. Tốt nhất nên lấy cao răng định kỳ 3 - 6 tháng/lần. Có nhiều phương pháp lấy cao răng, phổ biến nhất hiện nay là lấy cao răng bằng máy thổi cát và máy siêu âm. Dùng máy thổi cát có ưu điểm là làm sạch cao răng khá tốt và hạn chế được lây nhiễm chéo, nhưng nhược điểm là dễ làm rỗ bề mặt răng do những hạt cát được phun ra trong quá trình làm sạch khiến răng dễ nhiễm màu và tạo điều kiện cho mảng bám lần sau hình thành nhanh hơn.

Lấy cao răng có bị đau?

Có thể khi lấy cao răng sẽ có cảm giác ê buốt (không phải là đau), chảy máu nhiều hay ít tùy thuộc tình trạng cao răng và mức độ nhạy cảm của từng người. Sau khi lấy cao răng xong, sẽ có cảm giác ê buốt khi uống nước nóng, lạnh... cảm giác này sẽ hết sau vài ngày.

Ngăn ngừa cao răng như thế nào?

Để ngăn ngừa cao răng, bạn cần đánh răng đúng cách ngày 2 - 3 lần sau khi ngủ dậy buổi sáng và sau mỗi bữa ăn trưa và tối, hoặc trước khi đi ngủ. Bạn cũng nên sử dụng chỉ nha khoa để lấy sạch mảnh vụn thức ăn ở kẽ răng. Sau khi chải răng, nên ngậm nước súc miệng hoặc nước muối pha loãng. Kiểm tra răng miệng định kỳ 3 - 6 tháng/lần. Đối với trẻ nhỏ, bạn nên cho trẻ khám răng định kỳ và lấy cao răng theo chỉ định của nha sĩ. Bạn nên hạn chế ăn các thức ăn có đường vào buổi tối vì dễ hình thành mảng bám và tạo môi trường tốt cho vi khuẩn trong miệng phát triển. Những người có bệnh răng miệng như sâu răng, viêm nha chu, chảy máu chân răng... cần điều trị tích cực theo hướng dẫn của bác sĩ chuyên khoa.

TS. Bùi Việt Hùng

Nguồn tham khảo: Báo Sức Khỏe & Đời Sống

  Ý kiến bạn đọc

Danh mục dịch vụ

Bạn đã không sử dụng Site, Bấm vào đây để duy trì trạng thái đăng nhập. Thời gian chờ: 60 giây