Đọc báo

 

Tổng số điểm của bài viết là: 20 trong 4 đánh giá

Click để đánh giá bài viết
Cách làm việc tại gia... khỏe

Cách làm việc tại gia... khỏe

 4 năm     Blog Doanh nghiệp

Suckhoedoisong.vn - Để phòng chống dịch COVID-19 khiến đa số chúng ta phải làm việc tại nhà nhiều hơn. Hãy biết cách làm việc sao cho khỏe mạnh và vui vẻ. Bài viết này với mục tiêu giúp giảm nguy cơ...

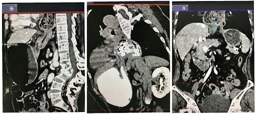
Cảnh giác với thoát vị hoành

Cảnh giác với thoát vị hoành

 4 năm     Blog Doanh nghiệp

Suckhoedoisong.vn - Cơ hoành là lớp cân cơ có hình vòm ngăn cách giữa các tạng trong ổ bụng và lồng ngực.

Cách khắc phục thoái hóa cột sống cổ

Cách khắc phục thoái hóa cột sống cổ

 4 năm     Blog Doanh nghiệp

Suckhoedoisong.vn - Thoái hóa đĩa đệm cột sống cổ là bệnh về xương khớp phổ biến. Hiện nay, tỷ lệ người bị thoái hóa đốt sống cổ (THĐSC) ngày càng có xu hướng gia tăng, bệnh gặp chủ yếu ở người trưởng...

Cảnh giác biến chứng của loét dạ dày - tá tràng

Cảnh giác biến chứng của loét dạ dày - tá tràng

 4 năm     Blog Doanh nghiệp

Suckhoedoisong.vn - Bệnh viêm loét dạ dày - tá tràng (DD-TT) là bệnh thường gặp, xảy ra do tổn thương trên niêm mạc dạ dày hoặc tá tràng, gây ra các triệu chứng đường tiêu hóa trên như đau bụng, buồn...

Hiểu đúng về bệnh lao và nguyên tắc điều trị

Hiểu đúng về bệnh lao và nguyên tắc điều trị

 4 năm     Blog Doanh nghiệp

Suckhoedoisong.vn - Bệnh lao là bệnh truyền nhiễm nguy hiểm, nhưng không phải tất cả mọi người nhiễm vi khuẩn lao đều phát bệnh.

Viêm da cơ địa: Những điều cần biết

Viêm da cơ địa: Những điều cần biết

 4 năm     Blog Doanh nghiệp

Suckhoedoisong.vn - Viêm da cơ địa gây ra nỗi ám ảnh với nhiều người bởi lẽ khi tái phát, vùng da bị viêm trở nên co cứng, nứt nẻ, chảy máu và ngứa ngáy rất khó chịu. Bệnh thường khởi phát từ tuổi nhỏ...

Hưởng ứng “ Ngày Sức khỏe răng miệng thế giới 20/3” : Vì sức khỏe răng miệng cho mọi người

Hưởng ứng “ Ngày Sức khỏe răng miệng thế giới 20/3” : Vì sức khỏe răng miệng cho mọi người

 4 năm     Blog Doanh nghiệp

Suckhoedoisong.vn - “ Ngày Sức khỏe răng miệng thế giới” lần đầu tiên được tổ chức tại Việt Nam là ngày 20/3/2013, và sau đó diễn ra đều đặn hằng năm, nhằm nâng cao nhận thức về tầm quan trọng của sức...

Bệnh vảy nến da đầu: Ảnh hưởng nặng nề tâm lý người bệnh

Bệnh vảy nến da đầu: Ảnh hưởng nặng nề tâm lý người bệnh

 4 năm     Blog Doanh nghiệp

Suckhoedoisong.vn - Vảy nến da đầu rất dễ gặp, đây là bệnh không đến nỗi làm cho bệnh nhân đau đớn, không đe dọa tính mạng người bệnh nhưng bệnh gây cho người bệnh sự khó chịu do ngứa ngáy, ảnh hưởng...

Phòng ngừa bệnh tăng huyết áp- Cách nào?

Phòng ngừa bệnh tăng huyết áp- Cách nào?

 4 năm     Blog Doanh nghiệp

Suckhoedoisong.vn - Bệnh tăng huyết áp vẫn được coi là “kẻ giết người thầm lặng”. Chính vì vậy các nhà khoa học luôn đưa ra các khuyến cáo nhằm giúp mọi người phòng tránh được căn bệnh nguy hiểm này.

Bà bầu phải làm gì khi mắc cảm cúm?

Bà bầu phải làm gì khi mắc cảm cúm?

 4 năm     Blog Doanh nghiệp

Suckhoedoisong.vn - Với người bình thường cúm đã khó chịu, thì với người đang mang thai, cảm cúm. lại càng phức tạp hơn. Vậy bà bầu sẽ phải làm gì khi bị mắc cúm?

Mắc bệnh chàm phải làm  gì?

Mắc bệnh chàm phải làm gì?

 4 năm     Blog Doanh nghiệp

Suckhoedoisong.vn - Chàm có nhiều loại như chàm đồng tiền, chàm tiếp xúc, chàm thể tạng. Bệnh xuất hiện từng đợt, dai dẳng và hay tái phát. Mọi lứa tuổi đều có thể mắc bệnh, phổ biến nhất là trẻ em và...

Phòng ngừa tai biến mạch máu não

Phòng ngừa tai biến mạch máu não

 4 năm     Blog Doanh nghiệp

Suckhoedoisong.vn -Tai biến mạch máu não là tình trạng rối loạn chức năng thần kinh, gồm hai loại chính là nhồi máu não và xuất huyết não. Tai biến mạch máu não là một trong 10 nguyên nhân gây tử vong...

Bệnh tăng huyết áp: Hiểu đúng để phòng ngừa tốt hơn

Bệnh tăng huyết áp: Hiểu đúng để phòng ngừa tốt hơn

 4 năm     Blog Doanh nghiệp

Suckhoedoisong.vn - Tăng huyết áp là một bệnh phổ biến trên toàn cầu với hơn 1,6 tỷ người mắc và ngày một tăng lên, tỷ lệ kiểm soát bệnh chưa cao. Đây là một chứng bệnh nguy hiểm và có tính chất lâu...

Khuyến cáo của chuyên gia tim mạch đầu ngành trong mùa dịch

Khuyến cáo của chuyên gia tim mạch đầu ngành trong mùa dịch

 4 năm     Blog Doanh nghiệp

Suckhoedoisong.vn - Virus Corona mới (COVID-19 hay SARS-CoV-2) trở thành đại dịch toàn cầu với nhiều diễn biến phức tạp khó lường.

Dị ứng thời tiết: Những điều cần biết

Dị ứng thời tiết: Những điều cần biết

 4 năm     Blog Doanh nghiệp

Suckhoedoisong.vn - Dị ứng thời tiết là bệnh lý liên quan đến hệ miễn dịch của cơ thể, xảy ra đối với cơ thể vào những thời gian chuyển mùa hay thời tiết thay đổi đột ngột, biểu hiện thường thấy là...

Ngứa tai, chủ quan dễ nguy

Ngứa tai, chủ quan dễ nguy

 4 năm     Blog Doanh nghiệp

Suckhoedoisong.vn - Ngứa tai là một trong những biểu hiện của bệnh viêm ống tai ngoài. Tuy nhiên nếu ngứa không nhiều, không ảnh hưởng tới sinh hoạt của người bệnh thì họ không đi khám.

Dấu hiệu phân biệt nhiễm cảm lạnh, cúm mùa và COVID-19

Dấu hiệu phân biệt nhiễm cảm lạnh, cúm mùa và COVID-19

 4 năm     Blog Doanh nghiệp

Suckhoedoisong.vn - Dịch bệnh COVID-19 do virus SARS-COV-2 gây ra đang là sự quan tâm lớn của nhiều người.

Điểm mặt thủ phạm gây chảy máu cam

Điểm mặt thủ phạm gây chảy máu cam

 4 năm     Blog Doanh nghiệp

Suckhoedoisong.vn - Chảy máu cam là hiện tượng thường gặpi. Có trường hợp rất nhẹ, không cần khám chữa gì. Tuy nhiên, hiện tượng này cũng có thể là biểu hiện của những bệnh lý nguy hiểm.

Cứng khớp - Không thể xem thường khi ở tuổi trung niên

Cứng khớp - Không thể xem thường khi ở tuổi trung niên

 4 năm     Blog Doanh nghiệp

Suckhoedoisong.vn - Triệu chứng phổ biến của viêm khớp dạng thấp là cứng khớp buổi sáng kéo dài trong 1 giờ đồng hồ. Thường gặp ở các khớp nhỏ bàn tay và bàn chân, dễ dẫn đến tàn phế, có thể gây tổn...

Những bệnh nào ảnh hưởng nhiều nhất đến tính cách?

Những bệnh nào ảnh hưởng nhiều nhất đến tính cách?

 4 năm     Blog Doanh nghiệp

Suckhoedoisong.vn - Trên thực tế chúng ta đôi khi phải chịu đựng một người có tính khí cục cằn. Hành vi hung hăng của họ có thể là dấu hiệu của các vấn đề về sức khỏe chứ không hoàn toàn liên quan đến...

Biến chứng nguy hiểm của bệnh lao phổi

Biến chứng nguy hiểm của bệnh lao phổi

 4 năm     Blog Doanh nghiệp

Suckhoedoisong.vn - Bệnh lao do vi khuẩn Mycobacterium tuberculosis gây ra khi vi khuẩn này lây lan từ người bệnh sang người lành qua các giọt nhỏ li ti được phát tán trong không khí.

Nấm phổi do Aspergillus: Bệnh nguy hiểm nhưng ít người biết

Nấm phổi do Aspergillus: Bệnh nguy hiểm nhưng ít người biết

 4 năm     Blog Doanh nghiệp

Suckhoedoisong.vn - Nấm Aspergillus là 1 trong 3 loại nấm gây nên bệnh nấm phổi thường gặp, trong đó nấm Aspergillus là loại nấm phổ biến nhất, có kích thước 2 - 3µm. Loại nấm này có cả trong nhà và...

Phẫu thuật lasik - những điều nên biết

 4 năm     Blog Doanh nghiệp

Suckhoedoisong.vn - Hiện nay, nhu cầu phẫu thuật điều trị tật khúc xạ mắt ngày càng gia tăng, trong đó có phẫu thuật lasik được quảng cáo mang lại hiệu quả cao.

Thủ phạm khiến bạn bị đau dạ dày

Thủ phạm khiến bạn bị đau dạ dày

 4 năm     Blog Doanh nghiệp

Suckhoedoisong.vn - Đau dạ dày là tình trạng rất phổ biến ở nước ta, bệnh ẩn chứa nhiều biến chứng nguy hiểm. Do đó, việc hiểu đúng về bệnh để phòng cũng như cách phát hiện triệu chứng, nguyên nhân...

Đề phòng bệnh hay gặp khi làm việc với máy tính

Đề phòng bệnh hay gặp khi làm việc với máy tính

 4 năm     Blog Doanh nghiệp

Suckhoedoisong.vn - Ngày nay, ở nước ta máy tính được phổ cập rộng rãi đến mọi tầng lớp nhân dân, nhất là lớp trẻ và những người làm việc văn phòng. Đặc biệt là trong thời gian diễn ra dịch bệnh...

Viêm mũi xoang dị ứng gia tăng do môi trường

Viêm mũi xoang dị ứng gia tăng do môi trường

 4 năm     Blog Doanh nghiệp

Suckhoedoisong.vn - Viêm mũi xoang dị ứng là một bệnh thường gặp và có xu hướng ngày càng tăng do tình trạng ô nhiễm môi trường.

Xử lý nhanh viêm da tiếp xúc do côn trùng

Xử lý nhanh viêm da tiếp xúc do côn trùng

 4 năm     Blog Doanh nghiệp

Suckhoedoisong.vn - Vì loài côn trùng nhỏ bé nên khiến nhiều người dễ chủ quan khi bị chúng cắn, nhưng đó là suy nghĩ sai lầm bởi có nhiều loài côn trùng có chứa độc tố gây hại cho da, đặc biệt là gây...

Giữ gìn mắt trong hoạt động thể thao và giải trí

Giữ gìn mắt trong hoạt động thể thao và giải trí

 4 năm     Blog Doanh nghiệp

Suckhoedoisong.vn - Thể thao và các hoạt động giải trí là một phần quan trọng của cuộc sống. Tuy nhiên, các hoạt động này cũng tiềm ẩn nguy cơ với đôi mắt.

Nghiên cứu khoa học về Sâm tố nữ - Estrogen thực vật tác dụng mạnh

Nghiên cứu khoa học về Sâm tố nữ - Estrogen thực vật tác dụng mạnh

 4 năm     Blog Doanh nghiệp

Suckhoedoisong.vn - Estrogen là một trong các hormone quan trọng nhất trong cơ thể phụ nữ, góp phần hình thành những đặc trưng về sinh lý của phái đẹp. Mới đây, nghiên cứu về Sâm tố nữ, loại thảo dược...

Nhận biết và phòng ngừa thiểu năng tuần hoàn não

Nhận biết và phòng ngừa thiểu năng tuần hoàn não

 4 năm     Blog Doanh nghiệp

Suckhoedoisong.vn - Thiểu năng tuần hoàn não (hay còn gọi rối loạn tuần hoàn não) là tình trạng lượng máu lên não giảm, làm giảm sự cung cấp oxy và các chất dinh dưỡng nuôi não khiến cho tế bào thần...

Danh mục dịch vụ

Bạn đã không sử dụng Site, Bấm vào đây để duy trì trạng thái đăng nhập. Thời gian chờ: 60 giây