Thoát vị hoành (TVH) là tình trạng các cơ quan bình thường phải ở trong ổ bụng vì một lý do nào đó lại di chuyển lên khoang lồng ngực và gây ra những triệu chứng khó chịu.
Nguyên nhân của thoát vị cơ hoành có thể gây ra bởi: Tổn thương cơ hoành do chấn thương; Thoát vị hoành bẩm sinh; Tăng áp lực ổ bụng đột ngột như khi ho, hắt hơi, nôn, rặn khi táo bón, trong khi nâng vật nặng...
Thoát vị trượt: là loại phổ biến nhất gặp ở cả hai bệnh nhân lớn tuổi và trẻ tuổi. Trong loại này, phần khuyết tâm vị được đẩy trên cơ hoành, gây thoát vị đối xứng một phần trên của dạ dày.
Thoát vị cuốn: Phần đáy vị bị cuốn lên trên chỗ nối thực quản - dạ dày, khuyết tâm vị vẫn nằm ở dưới cơ hoành. Thoát vị này thường là biến chứng của phẫu thuật củng cố cơ vòng thực quản dưới trong điều trị trào ngược dạ dày thực quản.
Thoát vị hỗn hợp: Là một kết hợp giữa thoát vị trượt và thoát vị cuốn. Cả khuyết tâm vị và phần đáy vị được đẩy trên cơ hoành, với đáy vị di chuyển thậm chí còn cao hơn so với khuyết tâm vị. Hay gặp những bệnh nhân lớn tuổi, ban đầu có thể xuất hiện một thoát vị trượt sau đó phát triển thành loại hỗn hợp.
Thoát vị phức tạp: May mắn là thường hiếm. Nó được định nghĩa bởi thoát vị trong lồng ngực của các cơ quan khác, chẳng hạn như đại tràng, ruột non, và mạc nối,... và túi thoát vị bên trên cơ hoành.

Hình ảnh thoát vị dạ dày thể hỗn hợp lên lồng ngực qua khe thực quản.
TVH là một bệnh thường xuyên xảy ra ở trẻ nhỏ. Nhưng bất kỳ ai ở mọi lứa tuổi đều có nguy cơ mắc. Tuy nhiên những người ở độ tuổi trên 50 và phụ nữ thừa cân dễ mắc bệnh hơn.
Có thể người bệnh không có triệu chứng gì hoặc có triệu chứng khác nhau tùy mức độ ảnh hưởng tới cơ quan tiêu hóa hoặc hô hấp. Có thể ợ nóng, ợ hơi hoặc khó nuốt, có những cơn đau ngực, đau bụng dữ dội, buồn nôn, ói mửa, triệu chứng tắc ruột thấp hoặc cao, khó thở... chính bởi vậy nên bệnh rất có thể bị bỏ sót hoặc chẩn đoán nhầm với một số bệnh như viêm loét dạ dày, rối loạn tiêu hóa, đau thắt ngực...
TVH có thể là bệnh lý bẩm sinh hoặc mắc phải. Bệnh lý bẩm sinh thường được phát hiện trong thời kỳ bào thai hoặc lúc trẻ nhỏ. Thoát vị mắc phải thường được phát hiện ở lứa tuổi lớn hơn.
Khi chẩn đoán TVH cần phải xem xét kỹ lưỡng về dấu hiệu lâm sàng, kết hợp với các phương pháp chẩn đoán hình ảnh như Xquang, siêu âm, cắt lớp vi tính. Cộng hưởng từ ít sử dụng trong bệnh lý TVH.
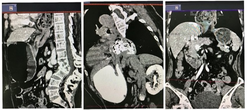
Chụp cắt lớp vi tính và chụp cắt lớp có tiêm kết hợp uống thuốc cản quang hiện nay được áp dụng khá phổ biến trong chẩn đoán TVH. Đặc biệt TVH ở người lớn. Qua hình ảnh thu được từ các lát cắt sẽ cho đánh giá chi tiết về thoát vị như vị trí thoát vị, tạng thoát vị, loại thoát vị,... góp phần tích cực trong định hướng phương pháp xử trí sau này cho bệnh nhân.
Hầu hết người bệnh thoát vị cơ hoành không có triệu chứng khó chịu gì và không cần điều trị, tuy nhiên nếu ợ chua thường xuyên và trào ngược acid, thầy thuốc cần cho toa thuốc hay chỉ định phẫu thuật.
Khi các triệu chứng nhẹ xảy ra như: chứng ợ nóng, đầy hơi hoặc khó chịu dạ dày - một TVH có thể được điều trị thành công bằng cách thay đổi lối sống bằng cách giảm cân nếu đang thừa cân, và duy trì cân nặng khỏe mạnh; Có một chế độ ăn uống phù hợp (ăn uống vừa phải nhiều loại thực phẩm và hạn chế các loại thực phẩm béo, thực phẩm có tính axit như cà chua và trái cây chua hoặc nước ép trái cây), thực phẩm có chứa caffeine và đồ uống có cồn; Không nên nằm ngay sau bữa ăn mà ít nhất từ 3-4 tiếng sau bữa ăn và không nên ăn nhẹ trước khi đi ngủ...
BS. Nguyễn Ngọc
Nguồn tham khảo: Báo Sức Khỏe & Đời Sống
Copyright @2023 VINKAI. All Rights Reserved by Mr.Thắng
Ý kiến bạn đọc