Răng khôn mọc lệch, ngầm: Nhổ hay không nhổ?

Suckhoedoisong.vn - Ai mà chẳng có răng khôn. Điều đáng nói là hầu hết răng “khôn” lại hay mọc “dại”. Và ta luôn luôn phải băn khoăn: Răng khôn, nên nhổ hay không? Bạn hãy đọc bài viết sau đây để rút ra câu trả lời cho mình nhé!

Hầu hết chúng ta đều nghe qua những câu chuyện “đáng sợ” về việc mọc răng khôn. Đây là răng mọc muộn nhất trên cung hàm nên khả năng để răng khôn mọc được đúng vị trí là rất khó. Một số người nói nó không tệ nhưng nhiều người khác lại nói rằng mọc răng khôn và nhổ răng khôn là trải nghiệm tồi tệ nhất trong cuộc đời họ. Vậy bạn có thực sự cần nhổ răng khôn không, đó là một câu hỏi lớn?

Bản thân tôi đến nay vẫn còn nguyên cả 4 chiếc răng khôn. Răng khôn của tôi mọc tương đối thẳng không mọc lệch hay mọc ngầm như của nhiều người. Mặc dù vậy, đã rất nhiều lần, tôi ước gì có thể loại bỏ chúng bởi mấy chiếc răng này thực sự rất khó để làm sạch. Để giữ gìn, bảo tồn những chiếc răng này, tôi đã phải mất nhiều thời gian hơn bình thường cho việc chải răng và dùng chỉ tơ nha khoa. Tôi cũng thỉnh thoảng phải đi chụp phim kiểm tra để phát hiện các biến chứng sớm có thể xảy ra. Và nhờ vậy tôi đã có thể sống chung với chúng tới giờ phút này, sau hơn 20 năm. Vì vậy, với câu hỏi “Bạn có thực sự cần nhổ răng khôn không?” - Câu trả lời của tôi là: Có thể không cần, nhưng bạn sẽ phải luôn luôn cảnh giác với các biến chứng, và nếu bạn không phải là người có chuyên môn về nha khoa, thực sự sẽ rất khó khăn.

Ngoài ra,  nếu bây giờ bạn đã trên 40 tuổi, chúng tôi thường khuyên rằng, không nên loại bỏ răng khôn nữa trừ khi có một số bệnh lý hoặc nhiễm trùng. Lý do là, khi bạn bước qua tuổi 40, việc nhổ răng thực sự trở nên khó khăn hơn, vì xương của bạn đã giảm độ đàn hồi, các chân răng dính khớp vào xương hàm, hơn nữa thể lực và sự hồi phục cũng là một trở ngại.

Nếu bạn trẻ tuổi hơn (đặc biệt từ 16-30 tuổi) và răng khôn bị biến chứng, không còn lý do gì để trì hoãn nữa, chúng tôi khuyên bạn nên loại bỏ chúng. Ở giai đoạn này, răng khôn của bạn sẽ dễ dàng loại bỏ hơn và khả năng phục hồi của bạn sẽ nhanh hơn rất nhiều. Nếu răng khôn mọc không có hoặc chỉ có những biến chứng nhẹ thoáng qua, hãy đi khám nha sĩ để nhận được lời khuyên và bạn có quyền lựa chọn giữa nhổ hay không nhổ (bản thân tôi, dù vẫn còn tồn tại răng khôn và không để xảy ra biến chứng, nhưng tôi vẫn luôn phải đề phòng vì giờ đây đã bước qua tuổi có thể nhổ răng một cách dễ dàng).

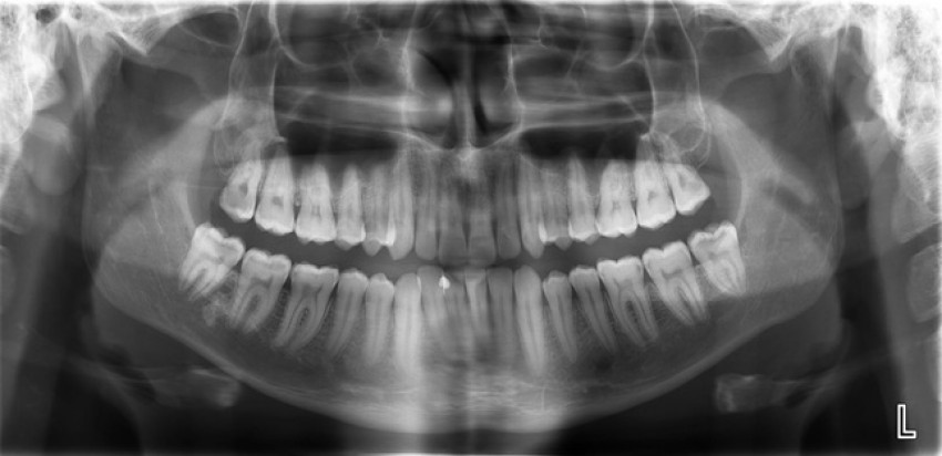
Dưới đây là một vài ví dụ về răng khôn cùng hình ảnh Xquang toàn cảnh (panorama). Với mỗi trường hợp, tôi sẽ thảo luận cụ thể nên giữ lại hay loại bỏ răng khôn để bạn đọc nắm bắt thông tin dễ dàng hơn.

Răng khôn mọc lệchHình ảnh 1 (đa số các trường hợp).

Bạn có thể thấy răng khôn mọc ở dưới nằm nghiêng và kẹt (hình 1), xung quanh có một quầng sáng nhỏ là biểu hiện của một biến chứng nguy hiểm tiềm tàng. Dựa vào chân răng khôn, nha sĩ cũng có thể đoán được bệnh nhân này còn rất trẻ (khoảng 16-18 tuổi), và thời điểm nhổ răng khôn lý tưởng nhất là khi chân răng của bạn đã hình thành khoảng một nửa đến 2/3. Căn cứ vào hình ảnh Xquang, những chiếc răng khôn cần phải được loại bỏ ngay và lúc này là thời điểm hoàn hảo để làm điều đó.

Răng khôn mọc lệchHình ảnh thứ 2 (hiếm gặp).

Phim X quang tiếp theo này (hình 2) cho thấy một ví dụ tuyệt vời về vị trí mọc chính xác của răng khôn. Những chiếc răng khôn này mọc khá thẳng hàng (tương đối giống trường hợp của tôi). Nhưng thật không may, mặc dù mọc thẳng và đúng vị trí nhưng bệnh nhân này vẫn không thể vệ sinh được răng khôn nằm trong cùng tận góc hàm và trên phim đã phát hiện có một số lỗ sâu răng khá lớn trong những chiếc răng khôn này. Tại thời điểm chụp phim này, nha sĩ và bệnh nhân sẽ phải thảo luận về việc hàn chúng hay loại bỏ chúng. Và trong trường hợp này, bệnh nhân được thống nhất là hàn bảo tồn và tiếp tục theo dõi chúng.

Kết luận

Qua 2 trường hợp kể trên, chúng ta đều nhận thấy ngay cả khi răng khôn mọc thẳng và đúng vị trí trên cung hàm thì việc giữ và bảo tồn được một chiếc răng khôn khỏe mạnh là rất khó, việc bảo tồn cũng chỉ là phương án tạm thời và cần tiếp tục theo dõi các biến chứng, việc loại bỏ nó trong tương lai cũng sẽ phải được tính đến.

ThS. BS. Nguyễn Hùng Hiệp

Nguồn tham khảo: Báo Sức Khỏe & Đời Sống

  Ý kiến bạn đọc

Danh mục dịch vụ

Bạn đã không sử dụng Site, Bấm vào đây để duy trì trạng thái đăng nhập. Thời gian chờ: 60 giây