Răng khôn dồn “dại”

Suckhoedoisong.vn - Răng khôn thường xuất hiện ở tuổi trưởng thành muộn hoặc ở độ tuổi trưởng thành sớm. Có thể vì thế mà được gọi là răng khôn. Tuy nhiên, khi răng này mọc lại hay đem tới những điều phiền toái từ nhẹ đến nghiêm trọng.

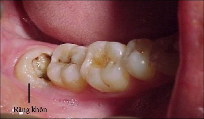
Răng khôn còn được gọi là răng số 8 hoặc răng hàm số 3, nằm cuối cùng hàm răng.Thường cuối cùng mọi người sẽ có 4 răng khôn, nói vậy là bởi răng khôn có thể mọc hoặc không mọc, hay mọc nhưng không đủ 4 răng.

Những nguy cơ với răng khôn

Hàm răng nếu mọc đủ 4 răng khôn có 32 răng, nhưng cung hàm của một người có thể nhỏ hơn cần thiết nên không đủ chỗ cho 32 răng, khi đó, răng khôn mọc có thể gây nên phiền toái. Trên thực tế, phần lớn răng khôn gây ra các vấn đề phiền phức hơn là hữu ích. Nếu có mọc bình thường, so với các răng khác, răng khôn cũng ít tác dụng nhất trong việc ăn nhai.

Răng khôn dồn “dại”Răng khôn rất dễ bị sâu.

 

Nếu hàm không đủ chỗ, răng khôn có thể mọc ngầm, kẹt trong xương hàm hoặc nướu, mọc xiên vào chân răng bên cạnh... gây đau và làm hư hỏng, di lệch các răng khác.

Ngay cả khi không có thiệt hại rõ ràng xảy ra, răng khôn cũng dễ bị bệnh. Răng khôn mọc yên ổn rồi cũng làm khó cho việc vệ sinh, vì thế, khả năng sâu răng hoặc nhiễm khuẩn mô nướu xung quanh rất cao. Vì thế, đối với những người răng khôn mọc bình yên, phát triển và ổn định, điều quan trọng nhất là vệ sinh răng miệng cho tốt, tránh cho răng không giở chứng thành... răng dại. Còn nếu răng khôn có vấn đề thì cần phải loại bỏ.

Các dấu hiệu xấu

Tuy nhiên, răng khôn có thể cần phải loại bỏ nếu có các dấu hiệu sau:

Nếu thấy rõ ràng răng sẽ không có chỗ để phát triển hoặc sẽ gây hại cho răng gần đó. Răng đã bị sâu, bị vỡ, khó tiếp cận để làm sạch hàng ngày. Răng khôn gây đau nhức, sưng. Tùy thuộc vào cách răng phát triển, răng khôn có thể có các trường hợp như sau:

Răng mọc một phần nhú lên khỏi nướu thì kẹt lại sẽ gây nguy cơ vi khuẩn xâm nhập dưới nướu gây nhiễm khuẩn nướu.

Răng mọc lệch: Nếu lệch ra má có thể kích thích các mô lân cận. Nếu mọc ở góc nghiêng 90 độ và nó phát triển đâm vào chân của răng bên cạnh gây hỏng răng. Răng có thể uốn cong gây xô lệch cả hàm, thậm chí làm sai khớp cắn.

Sâu răng: Do vị trí ở sâu, cuối cùng của hàm răng, răng khôn khó vệ sinh hơn các răng khác dẫn tới nguy cơ sâu răng, trong trường hợp bị nướu che phủ càng tạo điều kiện cho vi khuẩn phát triển. Sâu răng khôn có thể lây sang cả răng bên cạnh.

Răng khôn gây u nang: Nếu túi bao thân răng tồn tại trong xương, nó có thể tích dịch tạo thành nang mà có thể phá hủy xương hàm, răng, tủy răng và ảnh hưởng thần kinh gần đó. Tuy hiếm nhưng khối u có thể hình thành, mô và xương có thể phải phẫu thuật cắt bỏ.

Ngay cả khi không có triệu chứng, răng khôn cũng có thể làm hỏng răng khác và có thể dễ bị nhiễm khuẩn hơn.

Răng bị nhiễm khuẩn có thể dẫn đến đau nhức răng, nhức đầu, hôi miệng, mùi vị khác lạ trong miệng. Nhiễm khuẩn nghiêm trọng hơn có thể lan tới lưỡi hoặc cổ họng hoặc viêm nướu răng. Nướu bị sưng đỏ hơn bình thường, chảy máu nướu răng. Sưng hạch...

Để làm giảm triệu chứng, bệnh nhân có thể: Sử dụng thuốc giảm đau. Sử dụng nước súc miệng kháng khuẩn (hoặc nước ấm pha với 1 thìa muối) vài lần 1 ngày có thể giảm bớt đau và viêm. Nếu đau vẫn tiếp tục, cần tới bệnh viện khám. Bác sĩ có thể làm sạch răng và kê thuốc kháng sinh nhưng cũng có thể cần loại bỏ răng.

Nếu răng khôn gây đau đớn hoặc gây tổn thương cho răng hoặc xương hàm, nó cần được loại bỏ. Có quan điểm cho rằng răng khôn nên được chủ động loại bỏ sớm, trước cả khi nó gây ra phiền toái. Tuy nhiên, loại bỏ răng khôn như thế nào, vào thời điểm nào là do quyết định của bác sĩ và sự bàn bạc đồng thuận của bệnh nhân, bởi việc loại bỏ răng khôn cũng có thể gây những nguy cơ khác. Việc loại bỏ răng khôn có thể từ đơn giản đến phức tạp, tùy thuộc vị trí của răng và tình trạng răng khôn.

Răng khôn dồn “dại”Khi răng khôn có vấn đề, cần tới nha sĩ.

Sau khi nhổ răng, có thể có đau và sưng trong vài ngày. Thuốc giảm đau như ibuprofen và thuốc kháng sinh, nước súc miệng có thể được kê toa. Điều quan trọng là phải làm theo hướng dẫn của nha sĩ sau khi điều trị. Tránh rượu và hút thuốc ít nhất 24 giờ để đảm bảo không có vấn đề về chảy máu.

Biến chứng của tiểu phẫu

Một số bệnh nhân có vấn đề trong hoặc sau khi xử lý răng khôn, nhưng thường thì không nghiêm trọng. Các vấn đề có thể bao gồm: Sưng, đau đớn, mệt mỏi hoặc cảm giác không khỏe, nhiễm khuẩn, khô miệng, chảy máu, rò, tổn thương thần kinh dẫn đến cảm giác tê môi, lưỡi hoặc má. Hãn hữu một số người có thể có phản ứng bất lợi đối với thuốc. Đôi khi loại bỏ răng khôn có thể gây ra tổn thương xương hàm.

Để đối phó với răng khôn “giở dại”, điều quan trọng là phải vệ sinh răng miệng tốt và kiểm tra răng miệng thường xuyên để giảm thiểu nguy cơ bệnh nha khoa.

BS. Lê Thục Trinh

Nguồn tham khảo: Báo Sức Khỏe & Đời Sống

  Ý kiến bạn đọc

Danh mục dịch vụ

Bạn đã không sử dụng Site, Bấm vào đây để duy trì trạng thái đăng nhập. Thời gian chờ: 60 giây