Bệnh nấm da là bệnh do vi nấm gây ra, phát triển trên da của người. Cũng như vi khuẩn, vi nấm và các bào tử của hiện diện khắp nơi trong không khí, đất, nước, vật nuôi, bề mặt da và tóc… Bệnh nhân bị nhiễm nấm từ người sang người khi tiếp xúc hoặc dùng chung vật dụng cá nhân, từ môi trường (đất, nước, không khí, vật nuôi). Khi gặp điều kiện thuận lợi như thời tiết nóng; vùng da kín và nếp gấp hay ra mồ hôi, ẩm ướt; mặc đồ bó sát, vệ sinh cá nhân kém; thay đổi nội tiết, hệ miễn dịch suy giảm hoặc dùng thuốc ức chế miễn dịch kéo dài, các vi nấm và bào tử sẽ phát triển thành bệnh nấm da. Ở mức độ nghiêm trọng, bệnh nhân có miễn dịch kém có thể bị vi nấm tấn công một số cơ quan hoặc nhiễm nấm toàn thân, nhưng ít khi xảy ra ở người khỏe mạnh.

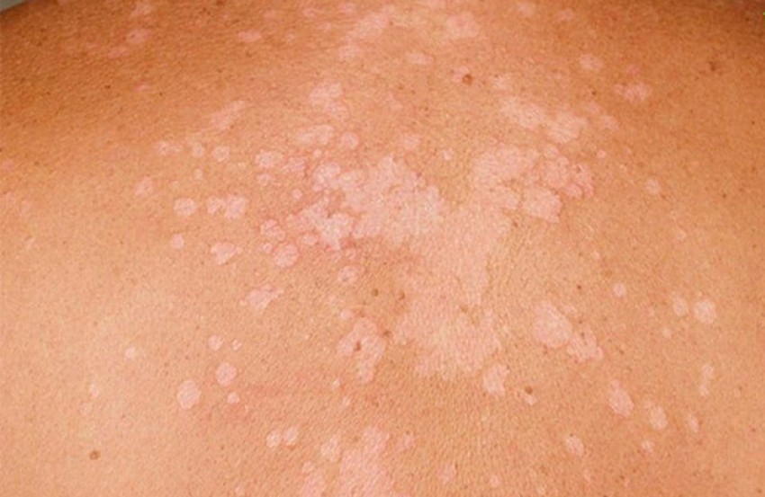
Lang ben: Lang ben là loại bệnh nấm da nông gây ra bởi nấm Malassezia furfur hay Pityrosporum orbiculare.Bệnh biểu hiện bởi những đốm tròn có đường kính một đến vài cm, màu hồng, trắng hoặc nâu. Có ranh giới rõ ràng với vùng da lành, dần lan rộng ra thành mảng, sau một thời gian bong ra những vảy mịn nhỏ. Vùng da bệnh hay gặp ở lưng, ngực, cổ, chỉ ngứa rát nhiều khi ra mồ hôi và bị biến màu một thời gian dài ngay cả khi đã khỏi bệnh, làm ảnh hưởng về mặt thẩm mỹ. Một bệnh da liễu có biểu hiện gần giống lang ben là bạch biến. Bạch biến tuy cũng làm xuất hiện những vùng da giảm sắc tố, nhưng khác biệt là vùng da này màu trắng bệch, xuất hiện ở bất cứ vị trí nào trên cơ thể và không lan rộng, không bong vảy, không ngứa. Cần đến bác sĩ chuyên khoa để chẩn đoán cũng như điều trị thích hợp.

Hắc lào: Hắc lào hay còn gọi là lác đồng tiền. Bệnh hay xuất hiện ở thắt lưng, vùng da kín và các nếp gấp lớn. Biểu hiện ban đầu là ngứa vùng da bệnh, sau đó xuất hiện một viền màu đỏ hình tròn hoặc bầu dục có bờ rõ rệt, trên đó có các mụn nước nhỏ li ti. Bệnh nếu không được điều trị sẽ lan ra thêm nhiều viền đỏ nữa, có thể thành mảng lớn hơi nổi lên, sưng nhẹ và rất ngứa, bong vảy cứng. Gãi sẽ làm vỡ các mụn nước, làm bệnh lây lan ra các vùng da khác và có thể làm bội nhiễm vi khuẩn trên vết thương. Hắc lào có biểu hiện gần giống với bệnh vẩy nến, cả hai đều gây ngứa dữ dội cho bệnh nhân. Tuy nhiên, khác với “đồng tiền” tròn của hắc lào, sang thương vảy nến thường là mảng lớn gồ ghề không có hình dạng rõ ràng với nhiều vảy bạc dày, xuất hiện ở đa dạng vị trí như khuỷu tay, da đầu, đầu gối, không xuất hiện mụn nước. Vẩy nến là bệnh liên quan đến hệ miễn dịch không thể chữa khỏi hoàn toàn, mà chỉ điều trị làm lành sang thương, hạn chế các đợt bùng phát của bệnh.

Nấm kẽ: Bệnh nấm kẽ gây ra bởi tác nhân chính là nấm Candida albicans hoặc Epidermophyton, Trichophyton, dân gian hay gọi là bệnh nước ăn chân. Bệnh nấm kẽ xảy ra ở vị trí kẽ ngón tay hay ngón chân, nhưng phổ biến nhất là kẽ chân với những đối tượng có chân tiếp xúc với nước, môi trường ẩm, kín trong thời gian dài như nông dân, vận động viên, công nhân vệ sinh, người buôn bán ở chợ…
Bệnh khởi phát tổn thương bằng những vệt đỏ da ở một hoặc hai kẽ ngón chân, có thể đóng vảy và mụn nước, rất ngứa. Sau đó, do chân là bộ phận vận động, ma sát nhiều nên thường xảy ra rỉ dịch, trợt da, nứt da chảy máu gây đau rát. Nếu không điều trị tốt, có thể lây lan ra tất cả kẽ chân cũng như mu và lòng bàn chân, dễ bội nhiễm vi khuẩn nếu không giữ vệ sinh tốt.

Nấm móng: Bệnh nấm móng chủ yếu do hai chi nấm sợi Dermatophytes và nấm men Candida gây ra, xảy ra ở một hoặc nhiều móng tay, chân khi thường xuyên tiếp xúc với nước, môi trường ẩm. Triệu chứng bắt đầu là một đốm trắng hoặc vàng dưới các đầu móng, ngứa, sau đó bề mặt móng bắt đầu xù xì, có vảy mịn như cám và xuất hiện các sọc dọc, ngang. Móng dần chuyển sang màu vàng hoặc nâu, dày sừng, giòn và gãy vụn khi nấm tiến sâu hơn, làm biến dạng móng ở phần đầu móng hoặc gốc móng. Nếu do Dermatophytes sẽ không bị viêm quanh móng, còn Candida gây viêm quanh móng làm móng sưng đỏ rất đau, có thể có mủ. Người bệnh nấm kẽ có nguy cơ cao bị nấm móng và ngược lại.

Nấm da đầu: Nấm da đầu khởi phát với các nốt sần nhỏ, rải rác trên da đầu do nấm Trichophyton gây ra. Tổn thương có các mảng vảy mỏng, tóc lành xen kẽ tóc bị cụt gần gốc do nhiễm nấm dễ gãy. Mảng vảy bong ra khỏi da đầu tạo thành một mảng hói tạm thời. Nếu không điều trị tốt, có thể gây viêm da đầu nặng và để lại sẹo. Ngoài ra, còn có bệnh nấm tóc với đặc trưng là sự xuất hiện của những hạt tròn mềm dọc theo thân tóc, màu đen hoặc nâu, có thể tuốt ra như trứng chấy. Bệnh do vệ sinh cá nhân kém.
Nấm da đầu và vẩy nến da đầu là hai bệnh có biểu hiện gần giống nhau, đều gây ngứa. Tuy nhiên, điểm khác ở chỗ vẩy nến da đầu thường xuất hiện sang thương viêm đỏ đầu tiên, sau đó bong các vảy khô và dày, rất ít rụng tóc. Ngoài ra, người bị vẩy nến da đầu gần như cũng bị vẩy nến trên thân mình. Còn nấm da đầu thường bong các vảy gàu mỏng, ướt do da đầu tiết bã nhiều và tóc rụng nhiều.
Phác đồ điều trị nấm da thường được sử dụng:
- Đầu tiên là các loại thuốc kháng nấm dạng dùng ngoài da điều trị tại chỗ như nhóm azole (ketoconazole, clotrimazole, miconazole...) và terbinafine. Đối với nấm da đầu sẽ có các loại dầu gội đặc chế. Chú ý, bôi lớp mỏng thuốc, đúng số lần trong ngày và đủ thời gian bác sĩ chỉ định vì điều trị nấm cần thời gian dài, khoảng vài tuần đến nhiều tháng.
- Nếu việc điều trị tại chỗ không thành công, nấm lan rộng (nhất là đối với các đối tượng có hệ miễn dịch suy yếu), bác sĩ sẽ chỉ định các thuốc kháng nấm toàn thân dùng đường uống tùy vào loại nấm bị nhiễm sau khi đã xét nghiệm như fluconazole, itraconazole, ketoconazole, griseofulvin, terbinafine… Các thuốc kháng nấm đều có độc tính cao trên gan thận (đặc biệt với bệnh nhân suy gan, thận) và có tương tác với nhiều loại thuốc khác, vì vậy tuyệt đối không tự ý sử dụng.
Ngoài các thuốc kháng nấm, bệnh nhân còn có thể được chỉ định sử dụng các thuốc kháng histamine kèm theo để giảm ngứa.
DS. VĨNH PHÚ
Nguồn tham khảo: Báo Sức Khỏe & Đời Sống
Copyright @2023 VINKAI. All Rights Reserved by Mr.Thắng
Ý kiến bạn đọc