Đặc biệt, với lối sống tiêu thụ nhiều đồ uống có tính axit ở người trẻ tuổi và thuốc điều trị bệnh mạn tính ở người nhiều tuổi sẽ làm tăng độ axit trong khoang miệng dẫn đến tổ chức cứng của răng dễ bị bào mòn, tiêu cổ răng càng nặng. Triệu chứng thường gặp của bệnh lý này chính là tình trạng ê buốt răng khi ăn các thức ăn nóng lạnh hoặc chua ngọt.
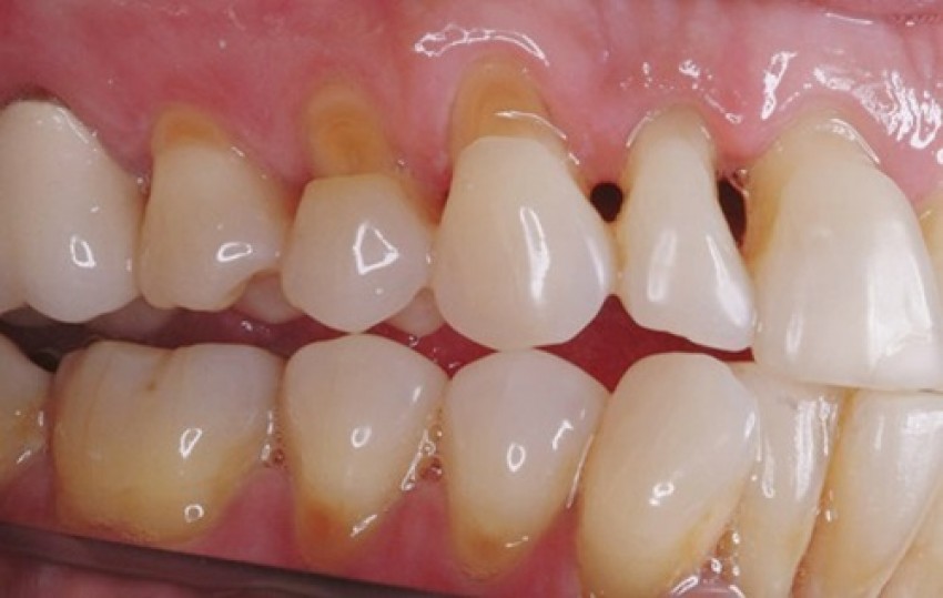
Mòn cổ răng là một rãnh sâu, lõm vào hình chữ V ở mặt ngoài răng ở sát viền lợi, hay gặp ở các răng cối nhỏ (răng số 4 và 5), răng số 6 và các răng cửa. Triệu chứng thường gặp của bệnh lý này chính là tình trạng ê buốt răng khi ăn các thức ăn nóng lạnh hoặc chua ngọt.
Răng cũng bị ê nhức khi bạn đánh răng hoặc sử dụng nước súc miệng, cũng có trường hợp răng bị mòn trở nặng hơn có thể gây viêm tủy, viêm xung quanh chóp răng. Mòn cổ thường xảy ra ở răng cửa, răng nanh và răng hàm cối nhỏ. Ban đầu, dấu hiệu của mòn cổ răng chỉ là một rãnh nhỏ dưới gần chân răng khiến bệnh nhân không để ý. Dần dần, rãnh mòn phát triển gây đau nhức, ê buốt và trong trường hợp nặng có thể gãy ngang thân.
Có nhiều nguyên nhân trong đó được chia ra các nhóm sau:
Nguyên nhân mòn cổ răng cơ học: Một trong những tổn thương cơ học thường gặp khiến mòn cổ răng chính là việc chải răng không đúng cách, thao tác chải thường là chải theo chiều ngang. Cùng với việc sử dụng bàn chải lông cứng chải miết trên thân răng và phần cổ răng quá nhiều - nơi có độ chịu lực và chịu mòn thấp, lâu ngày, phần men răng và ngà răng sẽ lộ dần khiến răng ê buốt và xuất hiện các rãnh nhỏ ngang thân. Ăn nhai quá mức các thức ăn cứng và dai hoặc tật nghiến răng trong khi ngủ cũng là một trong số các nguyên nhân làm cho tình trạng mòn cổ chân răng trở nên nghiêm trọng hơn.
Nguyên nhân mòn cổ răng hóa học: Song song với sự tác động của các yếu tố cơ học thì nguyên nhân mòn cổ răng chủ yếu cũng xuất phát từ những tác dụng của axit có trong khoang miệng hoặc do những thực phẩm chứa nhiều axit gây nên. Chất axit âm thầm diễn tiến làm mòn lớp men răng bên ngoài khiến phần ngà bị lộ hoặc nghiêm trọng hơn có thể tấn công đến các mô răng khỏe mạnh ở phần ngà làm cho các tổ chức răng bị phá vỡ gây nên tình trạng ê buốt kéo dài.
Bên cạnh những nguyên nhân mòn cổ răng cơ học và hóa học thì các bệnh lý cũng khiến cho cổ răng mòn dần, thậm chí là tụt nướu. Khi mô lợi và xương ổ răng vùng gần cổ răng bị co ngót do tác động của bệnh viêm nha chu mạn tính, chuyển động cơ học của bàn chải, điều này làm lộ ra vùng ngà răng đáng lẽ phải được che phủ bởi mô nha chu và khi vùng này lộ ra, sức chống chịu mài mòn của ngà răng kém hơn men răng rất nhiều nên sẽ bị mòn lõm tăng dần theo thời gian.

Chải răng và chọn bàn chải đúng, không gây ra lực quá mạnh làm mòn cổ chân răng.
Biểu hiện dễ nhận biết là cổ răng bị khuyết, lõm sâu có hình chữ V (còn gọi là lõm hình chêm), hay gặp nhất ở mặt ngoài cổ răng hàm nhỏ hàm trên, ngoài ra còn thấy ở răng cửa và răng hàm lớn. Đôi khi nó được phát hiện khi răng xuất hiện hiện tượng nhạy cảm với nhiệt độ (ê buốt răng khi ăn các thức ăn nóng lạnh) hoặc thức ăn ngọt, chua.
Việc điều trị mòn cổ răng còn phụ thuộc vào yếu tố nặng nhẹ, tuổi tác. Nếu cổ răng tiêu ít nhưng có quá cảm ngà, nha sĩ bôi vecni vào vùng cổ răng để tránh sự tiếp xúc với môi trường axit và giảm ê buốt.
Nếu cổ răng tiêu đến mức cần hàn - trám, nha sĩ sẽ thay thế phần men răng tiêu lõm bằng một vật liệu trám có màu giống với răng. Có 2 loại vật liệu được dùng là nhựa composite và GIC (Glass Ionomer Cement). Đối với những răng mòn sâu ảnh hưởng đến tủy răng, có thể cần đến điều trị tủy hoặc nhổ bỏ. Nếu nguyên nhân của sự mòn răng do thuốc đang sử dụng, bác sĩ có thể cho đơn thuốc khác hoặc thay đổi cách dùng để giảm nguy cơ làm mòn răng.
Trường hợp nặng, va chạm với tủy răng thì phải tiến hành lấy tủy bọc răng sứ. Nhằm bảo tồn được chân răng, vừa thẩm mỹ cao chức năng ăn nhai cũng khá lên rất nhiều.
Để phòng tránh mòn - tiêu cổ răng, cần khám răng định kỳ 6 tháng/lần. Việc chẩn đoán sớm rất quan trọng để thay đổi những thói quen không tốt, có biện pháp phòng ngừa giúp bệnh nhân tránh phải can thiệp phục hồi có xâm lấn. Giảm pH axit trong miệng từ bên ngoài: Giảm các đồ ăn thức uống có tính axit. Giảm pH axit do trào ngược dạ dày bằng thuốc chống trào ngược, giảm axit dịch vị. Đánh răng bằng bàn chải mềm với kem đánh răng chứa fluor, tăng độ khoáng hóa men răng với các biện pháp bổ sung fluor trong nước uống, muối ăn...
Khi thấy xuất hiện một vết khuyết trên cổ răng, cần đến khám nha sĩ. Cũng có thể bệnh nhân thấy khó chịu với cảm giác ê buốt cổ răng. Vấn đề được phát hiện sớm, tổn thương sẽ được ngăn chặn. Nếu mòn răng không được điều trị kịp thời sẽ gây nên những hậu quả nặng nề. Khi mô cứng của răng mất đi sẽ gây nên tình trạng ê buốt răng. Nặng hơn sẽ gây nên tình trạng hở tủy răng gây nên viêm tủy. Nếu tiếp tục không được điều trị sẽ gây nên viêm cuống răng, thậm chí gây nên những biến chứng lan rộng hơn, gây vỡ thân răng hoặc gãy thân răng.
Hằng ngày chải răng cần thực hiện đúng phương pháp, không gây ra lực quá mạnh làm mòn cổ chân răng. 1 ngày cần chải răng 2 lần sáng ngủ dậy và tối trước khi ngủ để làm sạch bề mặt và kiểm soát được mảng bám răng.
BS. Vũ Thị Ly
Nguồn tham khảo: Báo Sức Khỏe & Đời Sống
Copyright @2023 VINKAI. All Rights Reserved by Mr.Thắng
Ý kiến bạn đọc